Analizarán en Córdoba el cráneo hallado en Albardón para esclarecer su procedencia
Mientras se esperan los resultados, la causa permanece bajo investigación y con información reservada.
Mientras se esperan los resultados, la causa permanece bajo investigación y con información reservada.
La investigación quedó a cargo del fiscal Sebastián Gómez, junto a la ayudante fiscal Agostina Pérez.
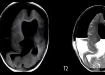
Se trata de una condición extremadamente rara que se conoce como FIF. Los médicos indicaron que la mayoría de los ...