Apresan a sujetos con un arma de grueso calibre, elementos robados y hasta droga
En la tarde de ayer domingo, siendo cerca de las las 17.30 hs, en circunstancias que personal policial realizaba recorridas ...
En la tarde de ayer domingo, siendo cerca de las las 17.30 hs, en circunstancias que personal policial realizaba recorridas ...
Gendarmería Nacional, este lunes, realizó un importante operativo en el ingreso a la Difunta Correa en el que secuestró 90 kilos de ...
El allanamiento que terminó con la detención de un importante criminal fue en la mañana de hoy miércoles 2 de ...
En la nota todos los detalles.
Los operativos se realizaron en 2 viviendas del barrio Esteban Echeverria. 6 kilos marihuana y 150 mil pesos secuestrados.
El trabajo coordinado de la Policía de San Juan y la Policía Federal Argentina permitió que se incautara una importante ...
Fue denunciada por tres delitos: "Movilidad ilegal, actos obscenos y tener droga para su nieta"
Fue interceptado por la Policia Federal, huyó a su casa y le encontraron gran cantidad de marihuana.
Gendarmeria secuestro 25 kilos de marihuana que eran trasladados en una encomienda
La menor fue al hospital por un fuerte dolor en el estómago. Allí confesó a la médica lo que había ...
La mujer fue arrestada en un micro de larga distancia en la localidad mendocina de Tunuyán, junto a un hombre ...
Fue detenida porque vendía cocaína y marihuana en Colola.
Creen que murió por sobredosis.
La jovencita detalló en Facebook lo que le sucedió al salir de una fiesta.
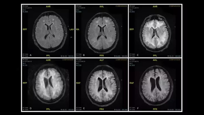
Las imágenes corresponden a un varón de 45 años que sufrió leucoencefalopatía inducida por la droga.