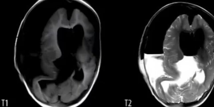
Una nena de un año tuvo que ser hospitalizada debido al gran tamaño de su cráneo y a que presentaba retrasos en sus habilidades motoras. Una vez internada le realizaron una tomografía que reveló que tenía un “tejido blando, hueso similar al de las extremidades y sombras de tejido óseo mixto en el área intracraneal”. Le realizaron una craneotomía y descubrieron que tenía un feto creciendo en su cabeza.
A pesar de que pudieron sacarlo por completo, la nena estuvo inconsciente después de la cirugía, sufrió convulsiones y 12 días después murió, debido a que el daño cerebral era extremadamente grave.
Esta condición es increíblemente rara y se conoce como feto en feto (FIF), o feto parásito, y ocurre en aproximadamente uno de cada 500.000 nacimientos. Estos pueden presentarse en distintas partes del cuerpo, como la pelvis o como en este caso, en la cabeza, en la cual es 100% fatal.
El feto es el de su hermano gemelo, que había sido “absorbido” durante la gestación, en el marco de un proceso de desarrollo llamado plegamiento de la placa neural, un paso necesario para la formación de la estructura del cerebro y la médula espinal.
Según la investigación realizada por científicos de la Universidad de Fudan en Shangái, China, donde ocurrió el caso, aseguraron que la beba presentaba crecimiento anormal de su cráneo, problemas motores y del habla, debido a la presencia de un feto dentro de su cráneo.
En el caso de esta beba, los médicos detectaron anomalías en su cráneo a las 33 semanas de gestación, durante un examen prenatal. Pero, la resonancia magnética no pudo proporcionar más información. La beba nació por cesárea a la semana 37 y los médicos notaron que su cabeza era notablemente más grande que lo normal.
En el caso de esta beba, los médicos detectaron anomalías en su cráneo a las 33 semanas de gestación, durante un examen prenatal. Pero, la resonancia magnética no pudo proporcionar más información. La beba nació por cesárea a la semana 37 y los médicos notaron que su cabeza era notablemente más grande que lo normal.

Al ingresar al hospital, al año de vida, su tamaño era anormal. Además, según detallaron los médicos que la atendieron, la nena solo podía decir “mamá” y apenas movía la cabeza. No podía sentarse ni gatear.
Tras de la craneotomía que le realizaron, los médicos indicaron: “Extrajimos un embrión inmaduro, con vérnix y órganos visibles, como la boca, los ojos, la cabeza fetal, el pelo fetal, el cuerpo, el antebrazo, las manos y los pies”. A su vez, detallaron que el embrión medía 18 cm de largo, tenía rasgos y extremidades malformadas, así como huesos largos y una columna vertebral.
A pesar de que intentaron salvarla, la beba murió a los 12 días de la intervención, debido al grave daño cerebral que había sufrido.
Según el artículo publicado en la revista Neurology sobre estos caso, se registraron alrededor de 200 casos de este tipo y aseguraron que las causas siguen siendo un misterio para la medicina. “Pueden estar relacionados con la contaminación ambiental, la genética, las bajas temperaturas, la exposición a pesticidas durante el embarazo temprano y otros factores”, indicaron.








